入れ歯治療

今お使いの入れ歯は快適ですか?
ブリッジは歯をたくさん削るし、インプラントは手術がこわい...
歯を抜いた後の処置は、入れ歯、ブリッジ、インプラントの3つの方法があります。
入れ歯はブリッジほどは噛めないけど歯の削る量は少ない、インプラントのように手術も必要なく費用も抑えられるということで、まだまだ歯を失った後の治療として選択することも多いと思います。
入れ歯は歯の欠損部を補う治療法としては治療期間、身体的苦痛、費用等を考慮すると最も選択しやすい方法といえるかもしれません。
DENTURE

今お使いの入れ歯は快適ですか?
ブリッジは歯をたくさん削るし、インプラントは手術がこわい...
歯を抜いた後の処置は、入れ歯、ブリッジ、インプラントの3つの方法があります。
入れ歯はブリッジほどは噛めないけど歯の削る量は少ない、インプラントのように手術も必要なく費用も抑えられるということで、まだまだ歯を失った後の治療として選択することも多いと思います。
入れ歯は歯の欠損部を補う治療法としては治療期間、身体的苦痛、費用等を考慮すると最も選択しやすい方法といえるかもしれません。
入れ歯を使うこと自体は問題ないけど見た目が気になる…
入れ歯がすぐに緩くなって調節してもらうためにしょっちゅう歯科医院を受診している…
そんな方には入れ歯の“ばね(クラスプ)“が目立ちにくいノンクラスプデンチャーがおすすめです。
アルティメットデンチャーは金属ではなく樹脂(アルティメット)を使うことで強靭性、剛性が増し、歯との適合性が改善されます。また、厚みが増しても透過性が高いため、自然な見た目を再現できます。


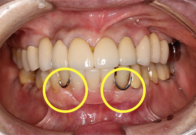
保険適用内の入れ歯は“ばね“が金属製のため目立ってしまう

“ばね“が目立ちにくく、緩みにくい
| ① 疾患名 | 歯牙欠損 |
|---|---|
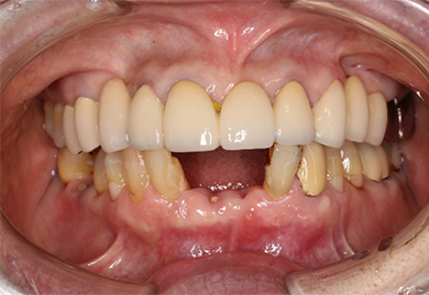
| ② 処置詳細 | 70代女性 下顎の前歯が歯周病の悪化により抜歯が必要となってしまいました。前歯に関しては初めての入れ歯作成だったため、保険適用内の入れ歯を作成したところ、見た目が気になるとのことでアルティメットデンチャー(クラスプ部クリア加工なし)を作成しました。 |
| ③ 処置にかかった期間 | 治療期間は抜歯後4週間程度、傷口の治りを待ってから型取りを行う必要があるため、抜歯、傷口の治癒期間、入れ歯の型取り、試適(最終確認)、完成まで計4回(7週間程度)の受診が必要でした。 |
| ④ 処置にかかった費用 | 抜歯は保険適用内の処置となります。 費用はアルティメットデンチャーの型取り、かみ合わせの採得、試適、完成(装着)で総額110,000円(税込)でした。 |
| ⑤ 起こりうる 副作用・リスク |
アルティメットデンチャーは見た目が自然で、重量も軽く適合も良いという特徴があります。そのため噛みやすく、また食べ物が詰まりにくいという特徴があります。 しかし、保険適用の入れ歯と比べ、調整が難しく、万が一破損してしまった場合の修理につきましては1週間~10日ほどお預かりさせていただく必要があります。 |


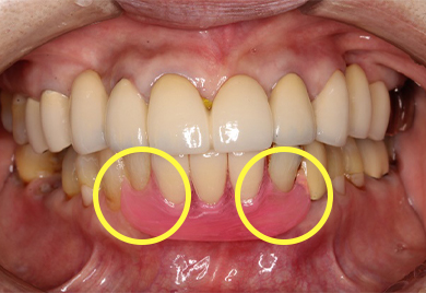
クリア加工を施すとさらに目立ちにくくなります
追加料金30,000円(税込)がかかります
| ① 疾患名 | 歯牙欠損 |
|---|---|
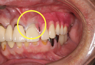
| ② 処置詳細 | 40代男性 左上のブリッジの支えの歯が折れてしまい、抜歯が必要となってしまいました。当初インプラント治療をご希望されましたが、他の歯との兼ね合いでアルティメットデンチャー(クラスプ部クリア加工あり)にて治療を行うことになりました。 |
| ③ 処置にかかった期間 | 治療期間は上記症例と同様、抜歯後4週間程度、傷口の治りを待ってから型取りを行いました。抜歯、傷口の治癒期間、義歯の型取り、試適(最終確認)、完成まで計4回(7週間程度)の受診が必要となりました。 |
| ④ 処置にかかった費用 | 抜歯は保険適用内の処置となります。 費用はアルティメットデンチャーの場合、型取り、かみ合わせの採得、試適、完成(装着)で110,000円(税込)ですが、クラスプ部分のクリア加工(30,000円(税込))を行ったため、総額140,000円でした。 |
| ⑤ 起こりうる 副作用・リスク |
もともとアルティメットデンチャーは見た目が自然ですが、クラスプ部分にクリア加工を施すことで、さらに目立ちにくくなり審美的に大きなメリットがあります。重量も軽く適合も良いという特徴があります。そのため噛みやすく、また食べ物が詰まりにくいという特徴があります。 クリア加工を施すと、クリア部分とそれ以外の部分との境目の強度がやや落ちるため、クリア加工を施していないアルティメットデンチャーと比べ、破損のリスクが高まることが考えられます。 |
新しい入れ歯はまだそれにお口が慣れていません。そのため違和感を感じたり、会話がしづらい、食事が噛みづらいなどの不具合を生じることも少なくありません。
装着時間を長くすることでお口の筋肉などが順応してきます。はじめのうちは装着時間を長めにして慣れるようにしましょう。
入れ歯の適合やかみ合わせの問題で、歯茎に口内炎ができて痛みを伴うことがあります。
その際は無理に使用せず、2~3日入れ歯を外して歯茎を安静にしておきましょう。
それでも改善しない場合は歯科医院を受診して入れ歯の調整をしてもらいましょう。
食事をすると入れ歯と粘膜の間や入れ歯と歯の間に食べ物が詰まることが多く、そのままにしておくと細菌が繁殖し、むし歯や歯周病、口臭の原因になります。
入れ歯用ブラシやお使いの歯ブラシ等を使い、流水下で汚れをきれいに落としましょう。
歯ブラシを使う場合、研磨剤配合歯磨剤の使用は避けましょう。
研磨剤入りの歯磨剤を使用すると入れ歯に細かいキズが付き、汚れや細菌が付着しやすくなってしまいます。
入れ歯は“ばね(クラスプ)”により着脱方向が決まっています。
慣れてくるとお口の中に入れて、ガチッと噛んで入れてしまう方がいますが、方向が間違っていると破損の原因になります。
無理な力がかからないように必ず手で着脱するようにしましょう。
就寝中は唾液の分泌量が減少し、細菌が繁殖しやすい環境になります。
入れ歯は表面に細菌が付着しやすいため、就寝時は外して寝るようにしましょう。
入れ歯は乾燥すると変形したり、亀裂が入ってしまうこともあります。
お口の中に装着していない間は湿度の高い環境で保管してください。
タッパーなどの容器に水を張ってその中で保管していただいてもかまいません。
入れ歯には目には見えない細菌が多く繁殖しています。
市販の入れ歯洗浄剤などで定期的に洗浄、殺菌、消毒を行い、入れ歯を清潔に保ちましょう。
特に金属製のばねは着脱を繰り返すことで徐々に緩くなってきてしまいます。
入れ歯の適合やかみ合わせはもちろんのこと、入れ歯の支えになっている歯や歯茎の状態を定期的にチェックしてもらい、必要に応じて調整してもらいましょう。
適合が悪い入れ歯を使っていると歯茎が痛んだり、歯がぐらぐらしてきたり、物がうまく噛めなかったりして、日常生活に支障をきたすこともあります。
入れ歯の調整は非常に細かく、繊細です。自分では行わず、必ず歯科医師に調整してもらいましょう。





